خۆتی لێ بپارێزە.. هۆكاری زەردهەڵگەڕانی ددان چییە؟

:: PM:05:14:03/11/2025 ‌

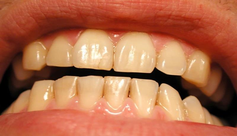
رەنگە زۆر كەس لەگەڵ شووشتنی ددانەكانیان رەنگی ددانیان بە زەردی بمێنیتەوە و ببێتە كێشەیەكی بەردەوام، پزیشكێكی پسپۆڕی جوانكاریی ددان ئاماژە دەكات كە چەند خواردن و خواردنەوەیەكی رۆژانە هەن دەبنە هۆی زەردهەڵگەڕانی رەنگی ددان.

د. هانا كینسیلا كە پسپۆڕی جوانكاریی ددانە لە بەریتانیا ئاماژە دەكات، هەندێك خۆراك و خواردنەوەی رۆژانە هەن دەبنە هۆی زردهەڵگڕانی ددانەكان، ئەگەر جوانكاریشیان بۆ بكرێت، تەنانەت شووشتنی رۆژانە ئەویش بەس نییە بۆ پارێزگاریكردن لە رەنگە سپییەكەیان، كێشەكەش بەوە چارەسەر نابێت كە واز لەو خۆراكانە بهێنرێت، بەڵكو ناسینەوە و رێگرتنە لەو كاریگەرییەیان بە چەند هەنگاوێكی ئاسان لە دوای خوارنیان.

لەبارەی هۆكاری زەردهەڵگڕانی ددان گوتی، چینی مینای ددان، وەك پارێزەری ددان كار دەكات، بەڵام رەنگ و بۆیەی خواردن و خواردنەوە هەڵدەمژێت، بە تێپەڕیبوونی كات رەنگەكەی دەگۆڕێت، هاوكات لەگەڵ چوونە ناو تەمەن ئەو چینە دادەخورێت و چینی عاج بەدیار دەكەوێت، كە خۆی رەنگی زەردە و ئەوەش زەردییەكی بەدیار دێخێت و جێگیری دەكات.  

لەو خۆراك و خواردنەوانەی دەبنە هۆی زەردهەڵگەڕانی ددان، چا و قاوە، كە رۆژانە دەخورێنەوە و مادەی تانینیان تیادایە، وا باشترە شیریان تێكەڵ بكرێت یان دوای خواردنەوەیان دەم بە ئاو پاك بكرێتەوە، شەربەتە مزرەكان، وەك شەربەتەكانی پرتەقاڵ و لیمۆ و هەنار كە شەكری تێر و ترشی بەهێزیان تیادایە و چینی مینا كون دەكەن، و دەبنە هۆی تێپەڕبوونی بۆیەكان بۆ ناوی، بۆیە باشترە شەربەت بە قەسەب بخورێتەوە بۆ ئەوەی بەر ددان نەكەون. 

كەچەب و پاستا لە زیاترین هۆكارەكانن، بەهۆی ئەو ترشە بەهێزەی هەیانە دەبنە هۆی داخورانی چینی مینا، باشترە سەوزە گەڵادارەكان و پەنیر بەر لە خواردنی ئەوانە بخورێت بۆ دروستكردنی چینێكی پارێزەر لە ددان، ترێ و تووی كێوی و رەش و سوور ئەوانە بۆیە و ترشی بەهێزیان تیادایە، بۆیە دەبێت بخرێنە ناو ژەمەكان یان لەگەڵ ماست بخورێت بۆ ئەوەی راستەوخۆ بەر ددان نەكەون، جگەرەكێشان، گەورەترین هۆكاری زەردهەڵگەڕانی ددانە، جگەرەی ئەلیكترۆنیش بە هەمان شێوە.   



وشە - مه‌حموود ئیسماعیل